|
|

老伞属Gerronema是一类分布较广的中小型木生伞菌。该属物种大多是典型的“亚脐菇型(omphalinoid)真菌”,意思是它们的菌盖呈中部下凹的喇叭状或漏斗状,菌褶延生且一般比较稀疏,孢子印白色至浅黄色。也有一些老伞属真菌是例外,它们的菌盖中部不下凹。
该属物种的颜色一般为黄褐色调,也有灰色调和蓝色调的物种。
除了上述特征外,老伞属还有几个重要特征,如孢子光滑且非淀粉质,菌盖和/或菌柄的菌髓组织呈“sarcodimitic”型等。
属核心特征:子实体小型,偶尔中等大小,亚脐菇状或杯伞状,木生。菌盖一般漏斗形或中部具脐凹,少数外凸。菌柄发育良好,中生或略偏生。无菌幕。孢子光滑,非淀粉质,薄壁。菌盖皮层为表皮型(cutis),偶尔有盖生囊状体,盖表菌丝要么完全无色素,要么部分或全部有壁内或结痂色素。菌盖组织sarcodimitic状。


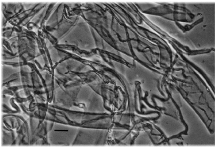
“sarcodimitic”型菌髓组织,是菌丝系统的一种,指的是组织中包含两种差异颇大的菌丝:一种纺锥状,相对较宽,不分支,是一种特殊的骨架菌丝;一种圆柱形,窄,常分支,这种较窄的菌丝是有生殖能力的。两种菌丝紧密地结合在一起。这种菌髓组织在老伞属的菌盖(和/或菌柄)中可见。
菌丝可以分为三类,即薄壁、可分支的生殖菌丝,厚壁、不分支、起支撑作用的骨架菌丝,和薄壁或厚壁、多分枝、起联结固定作用的联络菌丝。一些骨架菌丝会特化为纺锥状(中间粗,两边细)。这些菌丝的组合便构成了菌丝系统。纯生殖菌丝构成的为单系菌丝型monomitic,生殖菌丝+骨架或联络菌丝构成的为二系菌丝型dimitic,生殖+骨架+联络构成的为三系菌丝型trimitic,生殖菌丝+纺锤骨架菌丝构成的为sarcodimitic型,生殖+联络+纺锤骨架菌丝构成的为sarcotrimitic型。
下图为Hymenopellis furfuracea菌柄菌髓横切面,两种形态的菌丝清晰可见。在老伞属的菌肉,和大金钱菌的菌柄中,都可以看到这种类型的组织。



除了少数几个物种,如白老伞G. albidum和靛蓝老伞G. indigoticum有特殊的颜色外,其他的老伞属物种基本都呈灰色、黄色、褐色调,配色都大差不差。
比较常见且广布的物种是林地老伞G. nemorale,它拥有淡黄色的菌褶和橄榄色、灰黄色至黄褐色的菌盖,且成熟后菌盖是光滑的。百山祖老伞G. baishanzuense和林地老伞比较相似,但它的黄色调少些,且目前已知的分布较狭窄,仅在安徽、浙江有分布。
小老伞G. microcarpum是一个体型很小的物种,菌盖不到1cm宽,菌柄不到2cm长,整体呈淡黄色,非常纤弱。
诸犍[zhū jiān]老伞G. zhujian的菌盖上有菌盖表皮撕裂形成的辐射状棕黑色条纹,其菌盖本身是黄色的。
黄色老伞G. chrysocarpum是早年(1995年)在我国发表的一个物种,它的特征是菌褶存在侧生囊状体。
G. confusum是2022年在我国发表的物种,它的体型相对其他物种非常大且粗壮,菌盖宽达6cm,菌柄长达7cm,粗达1.4cm,菌褶纯白色,其灰白色的菌盖上密布褐色纤维状鳞片,和典型的老伞形态有较大差异。
黄褐老伞G. strombodes是老伞属一个较著名的物种,它的体型较大,菌盖宽度可达8cm,早期的文献中多记载有这种老伞。但在近年的研究中,并没有发现这种老伞,说明此前的记载可能是其他物种(如林地老伞)的误定,这个物种在我国可能没有分布。
我国可能还有更多待发现的物种。
老伞属最早是由Singer (1951) 发表,用来容纳三个阿根廷物种的属。他将这三个种称为“叛逆的物种(rebellious species)”,因为它们是唯三Singer无法在他出版的书籍The Agaricales in Modern Taxonomy中放到合适位置的物种。Singer指出这些物种均是缺乏菌幕和菌索的木生菌;它们的菌丝厚壁并呈现一种凝胶粘稠质感;菌褶菌髓强烈不规则型;等等。不久之后他将一些亚脐菇属Omphalina的物种转移到了老伞属。
这一做法引起了争议,争议主要围绕着Singer与另一位学者Bigelow对亚脐菇属的定义。Singer几乎将Bigelow所定义的亚脐菇属物种全盘转移到老伞属下,而Bigelow所定义的杯伞属Clitocybe物种在Singer的系统下却又被置于了亚脐菇属。许多学者认为Singer定义的老伞属太过宽泛了。另外,还有学者认为老伞应该是亚脐菇属的一个亚属。
此前Singer和Bigelow的定义很大程度上依赖于显微镜下菌丝色素的特征,当菌物学家开始审视其他的特征后,老伞属的范围开始逐渐被缩小。1986年,Redhead将老伞属中不含有“sarcodimitic”型菌髓的种全都刨了出去。然后在1994年,Norvell等学者更进一步,将老伞属定义为木生、担孢子薄壁、拥有“sarcodimitic”型菌髓的一个类群。
20世纪末21世纪初,系统发育学开始发展起来。1997年,Lutzoni选取了几个亚脐菇型的物种(其中包含了2个符合Norvell定义的老伞属的物种)进行系统发育学研究,系统树表明按照以前的旧定义,老伞属是多系的,但那2个物种在系统树上聚为一支,似乎说明Norvell定义的老伞是单系群。然而随着更多符合定义的物种被发现并加入到系统发育学研究中,老伞最终还是被证明是一个多系群。
现在的研究表明,老伞属在系统树上和湿柄伞属Hydropus、沟褶菌属Trogia、小杯伞属Clitocybula、大金钱菌属Megacollybia和突孔菌属Porotheleum属聚成一枝(突孔菌属甚至是个平伏的多孔菌类群,不过这种形态学大杂烩的现象在真菌界也见怪不怪了),其中老伞属是个多系群,与沟褶菌属难舍难分。老伞所在的这一类真菌被称为湿柄菌类hydropoid clade,有学者将湿柄菌类处理为突孔菌科Porotheleaceae,但也有学者认为突孔菌科的定义应该更加狭窄,并将老伞属排除在外。并且,形态学上老伞属与脐盖菇属Chrysomphalina也经常纠缠不清。
关于分类学争议的总结 老伞属自被发表后,它与亚脐菇属之间的区别便一直存在争议。1994年,Norvell等学者将老伞属定义为木生、担孢子薄壁、拥有“sarcodimitic”型菌髓的类群,划清了它与亚脐菇的界限。在早期的系统学研究中,老伞属被认为是一个单系群,但随着研究的深入,证明老伞并不是单系群,而包含了多个演化枝。目前,这些演化支暂且是还没拆分,老伞属暂且被置于突孔菌科下,但也有学者认为突孔菌孔的定义应该更狭窄,将老伞排除在外。
担子体伞菌型,亚脐菇状至杯伞状,小型至中等大小。菌盖漏斗形或中凹,偶尔凸镜形或中凸;颜色一般为黄褐色调或灰褐色调,少数白色、蓝色、褐色或其他色调;光滑或被细毛,菌盖表皮有时随着生长被撑开,开裂成放射状纤丝。菌褶较密至稀疏,延生,较宽,不具分叉,白色至浅黄色,少数淡蓝色,有时菌褶边缘异色。菌肉软或软骨质。菌柄发育良好,中生或略偏生,近圆柱形,基部常略膨大,基部菌丝体存在或不存在。无菌幕。
担孢子椭圆形、长椭圆形、圆柱形、柠檬形至倒梨形,薄壁,非淀粉质,光滑,透明,有油滴。担子一般4孢。侧生囊状体一般不存在,少数物种存在。褶缘囊状体存在或无,存在时近圆柱形、近纺锥形、棒状或烧瓶状。菌盖和(或)菌柄组织sarcodimitic型。菌盖和菌柄的菌髓菌丝常常凝胶化。锁状联合一般存在,有时不存在。
生境分布:腐生,木生,簇生或群生。常见于落叶层。广泛分布于世界大多数大洲的热带至温带地区。在我国热带和亚热带分布广泛。
模式物种:Gerronema melanomphax Singer 1951

Gerronema waikanaiensis凝胶状的菌柄菌髓。引自Cooper 2014
黄色老伞Gerronema chrysocarpum
描述待补充 |